神庭歯科医院|島根県松江市

治療から予防へ!!当院の最も⼤切にしていることは、きめ細かい定期検診による予防です。

HOME ≫ その他の当院で対応できるよくある困り事 ≫

その他
当院で対応できる困り事

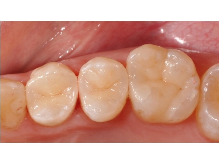
1)銀⻭の見た目が気になる。

メタル

銀歯による詰め物や被せ物は、光って目立つのが欠点です。周囲からの見た目が気になり、笑えなくなるなどの問題を引き起こす場合があります。見た目が気になる場合は、セラミック系(e-maxやハイブリッドインレーなど)の材料を使用することで、白い歯ができます。

2)銀歯の⾦属アレルギーが気になる

セラミック
皮膚がかゆい、皮膚に赤い赤い部分がある、皮膚にブツブツがある、金属で皮膚がかぶれるなどして、皮膚科を受診しても、症状が治らない場合は、お口の中にある金属が原因かもしれません。金属アレルギーはお口の中の金属に接触する部位に白色レース状の病変ができたり、手のひらや足の裏などに掌蹠膿疱症や汗疱状湿疹として現れる場合もあります。

セカンドオピニオンを受けたい

歯のことで本当にお困りの方へ 
 当院は歯周病と補綴の専門医です。そのため、重症でも、お力になれる場合があります。
当院では、マイクロスコープにより、拡大したり、3次元CT検査で病気の状況をより正確に把握し、治療を行うことでより良い結果を残せるよう努力もしています。
重症の方ほど実感されていると思いますが、歯は本当に大切な身体の臓器の一つです。
 歯周病や根っこの病気になると、そこから細菌が体に入って悪さをしたり(誤嚥性肺炎や敗血症など)、歯を失うことで、肉や野菜など繊維質の食べ物が摂取しにくくなり栄養が偏り、糖尿病や認知症などの病気につながることが報告されています。全身の健康のためにも簡単にあきらめないでください。遠慮なく2ndオピニオンお受けします。

セカンドオピニオン相談だけご希望の方 
 相談費用:13200円税込(CTレントゲン撮影費用を含みます)
 相談時間:40〜50分 

*当院で治療を行う場合は保険診療になる場合もございます。

⻭を抜きたくない
 

1)深い虫歯

歯を支える骨の位置まで及ぶような大きな虫歯は、基本的には抜歯の対象となります。

しかしながら、部分矯正治療で歯を引っ張り出すことで、保存できる場合があります。(矯正挺出という技術です。)

挺出

2)重度の歯周病

重度の歯周病歯は、抜歯になることが多いです。

しかしながら、条件によっては、再生療法で保存できる場合があります。

挺出と再生療法の絵

モバイルサイト

神庭歯科医院スマホサイトQRコード

スマートフォンからのアクセスはこちら